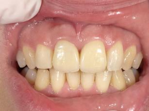
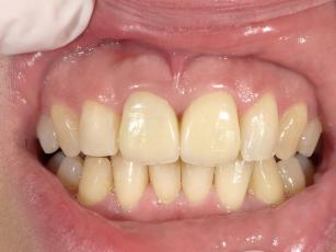
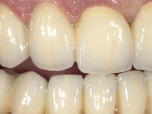
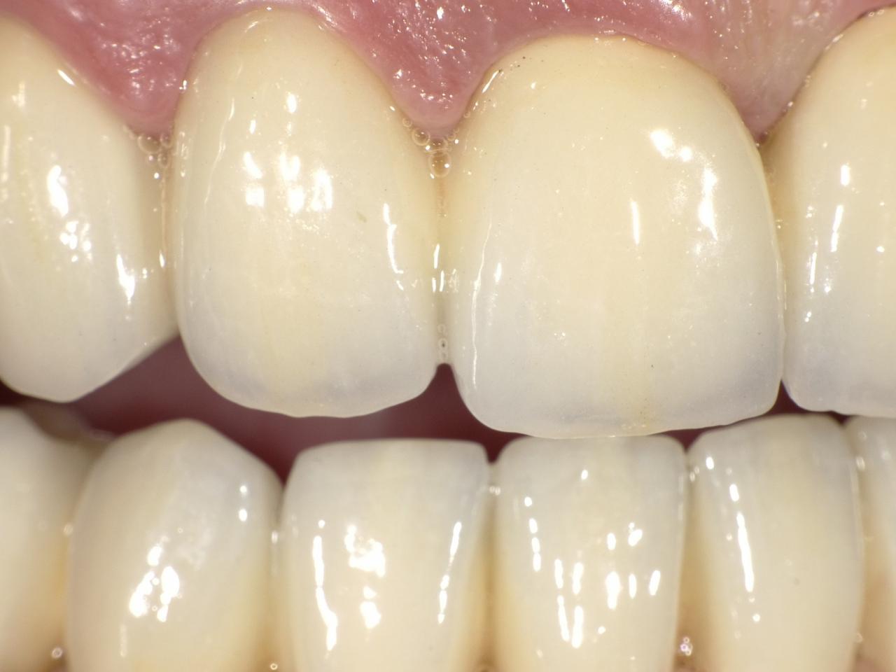
customer tabsΕπικοινωνία Το Dental Pro Lab Χατήρας Θάνος, δεύτερης γενιάς εργαστήριο, ιδρύθηκε το 2013 συνεχίζοντας με τα ιδανικά, τις ιδέες και την επιτυχημένη πορεία του Dentallabor Χατήρας Πάνος, που από το 1989 ακολουθεί συνεχώς μια σταθερή πορεία ανόδου επενδύοντας συνεχώς σε υποδομή, τεχνολογία και ανθρώπινο δυναμικό.Βασικές προτεραιότητες του εργαστηρίου μας είναι σεβασμός στις συνεργασίες μας, συνεχής επικοινωνία με τους πελάτες μας και σταθερά υψηλή ποιότητα. Έτσι κάνουμε τα πάντα, ώστε να είμαστε απόλυτα ενημερωμένοι, άριστα καταρτισμένοι και έτοιμοι να σας εξυπηρετήσουμε με τον ταχύτερο και καλύτερο δυνατόν τρόπο. Η ποιότητά μας είναι κάτι για το οποίο είμαστε υπερήφανοι, και θεωρούμε ζωτικές τις συμβουλές των πελατών μας Οδοντοτεχνίτες και Οδοντοτεχνικά ΕργαστήριαΥγείαΨυχάρη 21, Άνω Πατήσια, ΑττικήΑΘΗΝΑ ΑΤΤΙΚΗΣΑΤΤΙΚΗ 2102237594 69756673242102237594dentalprolab@outlook.comhttp://www.dentalprolab.gr/https://www.facebook.com/dentallabor.gr Το προτείνω (έχει προταθεί 0 φορές) ΦωτογραφίεςFacebook LikeShare on FacebookTweet Widget